Smile design:

Η Δημιουργία Ενός Νέου Χαμόγελου!

Καθένας μας είναι μοναδικός και το χαμόγελό του δε μοιάζει με κανένα άλλο! Σκοπός μας είναι να σχεδιάσουμε το ιδανικό χαμόγελο που ταιριάζει στο πρόσωπο, το ύφος και την προσωπικότητα του ανθρώπου που μας εμπιστεύεται. Αυτό είναι η μεγαλύτερη επιτυχία, είναι ο άριστος συνδυασμός Επιστήμης και Καλλιτεχνίας!

Smile Design είναι, αρχικά ο σχεδιασμός και στη συνέχεια η δημιουργία ενός νέου χαμόγελου με μια σειρά από ανώδυνες οδοντιατρικές τεχνικές και διαδικασίες. Πραγματοποιείται από κάποιον εξειδικευμένο οδοντίατρο – smile designer που, με το συνδυασμό γνώσεων και πολύ καλής αισθητικής αντίληψης, μπορεί να μετατρέψει την επιθυμία κάποιου για ένα διαφορετικό, εντυπωσιακό χαμόγελο, σε πραγματικότητα. Ο σχεδιασμός ενός νέου χαμόγελου (smile design), δεν απαιτεί μόνο άριστες τεχνικές ικανότητες και επιστημονική κατάρτιση αλλά και μια επικοινωνία ανάμεσα στο γιατρό και στον ασθενή ώστε να μπορέσει ο γιατρός να προσεγγίσει στο μέγιστο το όνειρο του ατόμου που τον εμπιστεύεται.

Η Δημιουργία Ενός Νέου Χαμόγελου!

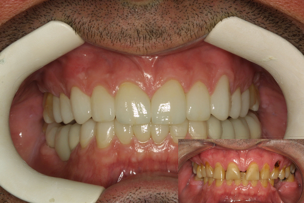
Η αποκατάσταση του χαμόγελου με την κατεύθυνση του επανασχεδιασμού, γίνεται με τη βοήθεια ολοκεραμικών στεφανών, κεραμικών όψεων, ή όψεων ρητίνης, ανάλογα με τις ανάγκες και την αισθητική αντίληψη του ασθενούς. 

Απαραίτητο είναι να ξεκινά με έναν πλήρη έλεγχο από την γιατρό, λεπτομερή εξέταση και εκτίμηση της αρχικής κατάστασης του στόματος, λήψη φωτογραφιών αλλά και ουσιαστική επικοινωνία μεταξύ γιατρού και ασθενούς ώστε να είναι ξεκάθαρες οι ανάγκες και οι προσδοκίες, για να καταλήξουμε στο χαμόγελο που ονειρεύεται ο κάθε επισκέπτης μας.

Dynamic Smile Δρ. Μαρία Ορφανίδου
Επισκόπηση απορρήτου

Αυτός ο ιστότοπος χρησιμοποιεί cookies για να σας παρέχουμε την καλύτερη δυνατή εμπειρία χρήστη. Οι πληροφορίες των cookies αποθηκεύονται στο πρόγραμμα περιήγησής σας και εκτελούν λειτουργίες όπως η αναγνώρισή σας όταν επιστρέφετε στον ιστότοπό μας και βοηθώντας την ομάδα μας να καταλάβει ποια τμήματα του ιστότοπου μας θεωρείτε πιο ενδιαφέροντα και χρήσιμα.